Hubo cierto momento,
No recuerdo donde estaba, ni con quién estaba, ni qué estaba haciendo,
Pero empecé a cuestionarme, seriamente, si mi presunto dolor de cabeza era real.
Si, me cuestioné dicha exquisitez, de una manera profunda y cuidadosa.
No podía andar por la vida predicando que el dolor de cabeza no se me iba, una, dos, tres semanas, y que todo resultase en una gran mentira.
No podía hacerle eso a la gente que aún, a pesar de lo extraña y poco amable que puedo ser a veces, sigue a mi lado.
No podía hacérmelo a mí misma.
¿Tendré algún tumor?
¿Algún bichito ahí metido en mi cerebrito?
¿O todo forma parte de mi imaginación, y mi constante deseo de llamar la atención (esa parte no es cierta, pero una vez que empiezas a cuestionarte este tipo de cuestiones, empiezas incluso a cuestionar tu existencia y tu misma forma de ser, incluyendo valores y demás, cosa fuerte)?
Entonces me quedé pegada con la idea.
Un tiempo.
Y los días siguieron pasando.
Y el dolor de cabeza seguía ahí.
Ya no me amanecía en rodajes o trabajos de último minuto.
Ya no andaba con el «estrés» que tenía pegado en la frente y que tanto me criticaban.
Pero el dolor seguía ahí.
Se me quitó el hambre.
Se me quitaron las ganas, de hacer casi, cualquier cosa.
Me imaginaba durmiendo la mayor parte del día.
No podía concentrarme (y eso que soy una persona bastante dispersa)
Volví a las clonas, pero solo circunstancialmente,
Empecé con la orfenadrina, meloxican, ketorolaco, norflex, y demás especias.
Odio las pepas, pero mira COMO no las puedo dejar.
No se si me hacen algo, si ayudan o matan.
Solo se que las tomo.
Y cuando voy a la clínica, no me preguntan si tomo pastillas, de frente me preguntan cuales y cuantas tomo.
¿Tengo algo en la cara que dice: esta tipa toma pepas?
Tal vez sí.
Pero me estoy desviando del tema.
Mientras espero que me pasen archivos de wetransfer para editar.
Mientras ruego porque mi compu no colapse y se ponga toda morada e inservible (llevo una constante batalla, que voy perdiendo, con la tecnología, y estoy pensando seriamente en aprender a pintar y dedicarme a eso, en algún pueblito en Nepal, sin wifi, y fin)
¿En qué estaba?
Ah sí, mi dolor de cabeza.
Entonces estaba ahí.
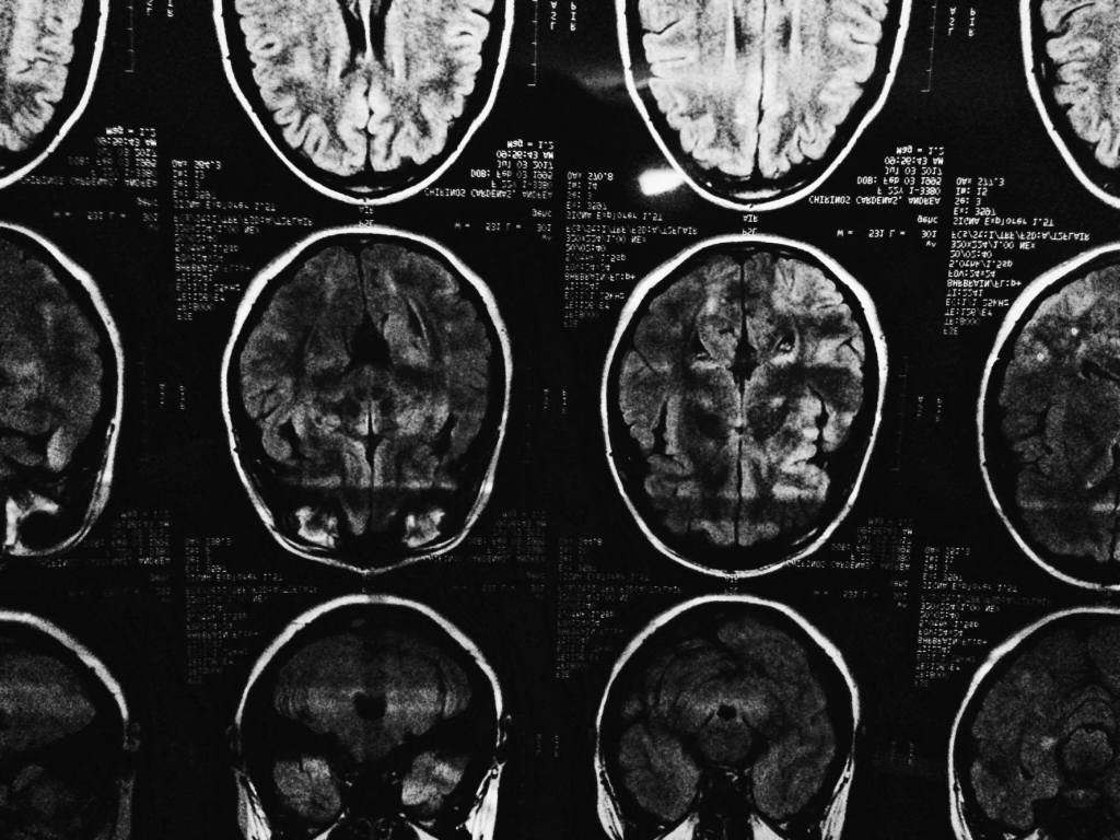
Frente a la neuróloga.
Mientras ella veía mis placas cerebrales.
Y yo solo pensaba «que el quiste sea benigno, que sea benigno porfavor»
Lo que había pasado, una hora antes de estar sentada en ese consultorio donde una señora gorda y muy buena gente revisaba mi cerebro mediante fotografías super raras que solo se pueden ver con una luz, rara también (no, no quiero buscar otro adjetivo para la cuestión), era que yo había leído los resultados antes que esta señora gorda y amable.
Quiste.
Palabras raras y mas palabras raras.
Pero salía quiste, quiste cerebral.
Manejé de regresó a la Universidad, no se si concentrada, o solo ida, mientras cantaba cumbia argentina, combinado con Passion Fruit de Drake, un poco de Me Rehuso y los lindos de Morat.
Y estuve así, un poco pensando en eso, un poco pensando en nada.
Una hora después, estaba pagando mi cita con la neuróloga.
Una hora después, estaba comprando más pastillas.
Pero aliviada, tranquila, aún, ida.
Quiste benigno.
No se me acabó la vida.
Deja de victimizarte Antonia.
Aún te falta graduarte.
Enamorarte otra vez.
Saltar de un avión.
Viajar a Rusia.
Vivir en Barcelona.
Vivir en Nueva Zelanda.
Aprender a surfear.
Conseguir esa vacante en HostelWorld
Viajar a la Antártida.
Ver la aurora boreal.
Tener una ONG.
Y porqué no, dirigir un largometraje (espero que pase, enserio, algún día de esos días, cuando pasan cosas buenas e inesperadas en la vida de las personas)
¿Y mi dolor de cabeza que es?
No se sabe aún.
Pero intentaré dormir más, comer mejor, dormir más.
Mejor solo me dedico a dormir y fin.
La vida es buena y larga, y sustos como estos pasan.
Pero la vida sigue siendo buena y larga
